ブラックトライアングルとは、歯茎が下がることによって歯間と歯茎の境にできる三角形の隙間です。
様々な原因で起こるブラックトライアングルは、見た目はもちろんのこと、発音がしにくくなったり、食べ物が隙間に挟まりやすくなるなど、機能障害も引き起こします。
従来、治らないと言われてきた歯茎下がり。
GRAZ式ブラックトライアングル治療は、外科的な治療は行わず無痛治療で回復が可能です。
ダイレクトボンディングによる歯の形態修正で足場を作り、ヒアルロン酸をキャリアにした幹細胞由来サイトカインとレーザーによる治癒促進(歯周組織再生誘導療法)を同時に併用して施術する高度な技術です。
即日でも外見が劇的に改善し、効果が持続します。
この治療法は文献的に予後も良好でヒアルロン酸だけの治療のような後戻りもほぼないと報告されております。
年1回のリタッチとして歯周組織再生誘導療法を追加することで維持できます。
無痛のため、施術中は眠られる方も大勢いらっしゃいます。

ブラックトライアングル周辺の歯茎に投与し、歯茎のボリュームを与え(ぷっくりさせる)、歯と歯の隙間を埋める治療法です。
安全性が高く、短時間で効果が実感でき、身体への負担が少ないことが特徴です。
ただし、個人差があり、効果が一時的なため、定期的なメンテナンスが必要です。
ブラックトライアングル周辺の歯茎に投与し、歯周組織の再生を促すことで歯茎のボリュームを与え、歯と歯の隙間を埋める治療法です。
幹細胞が自己増殖や分化を行う際に放出するサイトカインです。
幹細胞自身を活性化させるだけでなく、周囲の細胞にも働きかけて修復や再生を促す働きがあります。
ブラックトライアングルがある歯に対して、ハイブリットセラミックを接着し形や色を整え硬化させて隙間を埋める治療法です。
歯を削らず、型取りも必要ないため、1日で治療を終えられます。
色や形を自由に調整できるため、天然歯のような自然な仕上がりが可能です。
ブラックトライアングルがある歯に対して、ハイブリットセラミックを接着し形や色を整え硬化させて隙間を埋める治療法です。
歯を削らず、型取りも必要ないため、1日で治療を終えられます。
色や形を自由に調整できるため、天然歯のような自然な仕上がりが可能です。
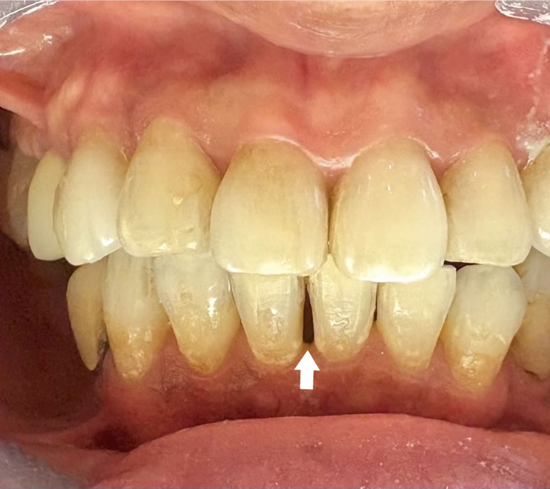
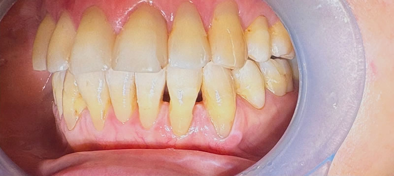
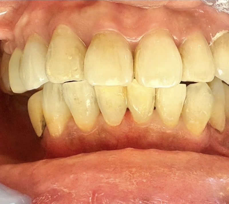
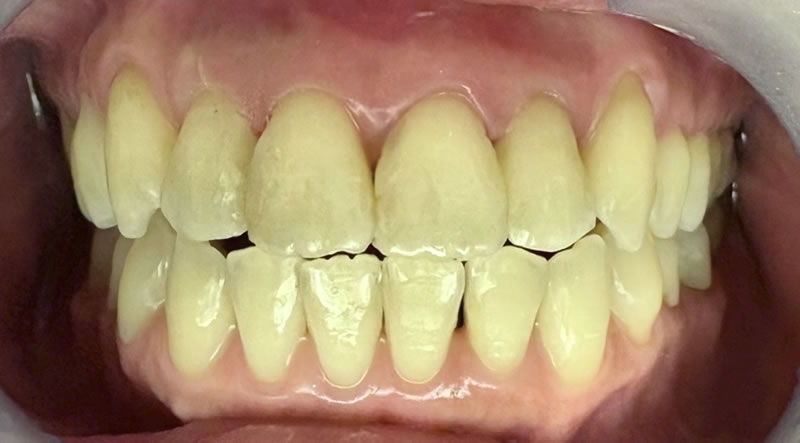
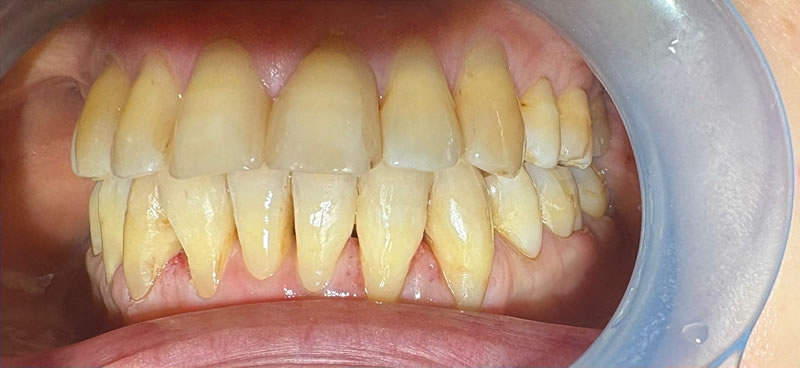
矯正後の60代後半女性で、下の前歯の歯茎下がりの空隙部位に食べものが入ってしまったり唾液が飛ぶから、封鎖したいという主訴でした。
ダイレクトボンディングによる歯の形態修正で足場を作り、ヒアルロン酸をキャリアにした幹細胞由来サイトカインとレーザーによる治癒促進治療による歯周組織再生誘導を同時に併用しました。
| 1ヵ所 | 38,500円~ |
|---|---|
| リタッチ(1年以内) | 11,000円 |
表示価格は税込です。