口元は、顔全体の印象を大きく左右する重要なパーツです。
歯の白さだけでなく、歯ぐきの色、唇の質感、筋肉のバランスによって、「清潔感」「若々しさ」「上品さ」は大きく変わります。
GRAZ DENTAL CAREでは、歯科医師の専門的な知識をベースに、機能性・安全性・美しさを兼ね備えた美容歯科を提供しています。
単なる美容ではなく、口腔内の健康を守りながら美を引き出すことを目的としています。
当院の美容歯科メニューは自由診療(保険適用外)となります。

韓国・江南のシン・ジンヨン氏(左)より直接技術指導を受け、ディプロマを取得
K-Beautyの神髄を。素顔に溶け込む理想の発色。
当院では、韓国・江南(カンナム)の著名なメイクアーティストから直接技術指導を受けた、本場仕様のリップアートメイクをご提供しています。
従来の「痛みが強い」「不自然に濃くなる」といったイメージを払拭し、独自のフルグラデーション技法で、内側からじゅわっと発色するような立体的で自然な仕上がりを追求します。
歯科医院として、お口周りの解剖学的な知識と、韓国のトレンド技術を融合させることで、一人ひとりの骨格・肌色に最適なデザインを導き出します。
使用する機材や色素も、現地のプロフェッショナルが選定したものと同じクオリティを導入しています。
都内でも数少ない「江南クオリティ」をぜひご体感ください。
アートメイクは医療行為です。
当院では適切な衛生管理のもと施術を行います。
妊娠中・授乳中の方、重度の金属アレルギーがある方、唇にヘルペス等の炎症がある方などは、施術を控えさせていただく場合があります。

くすんだ唇に、透明感という自信を。
唇の色素沈着(くすみ・黒ずみ・シミ)をメラニンに反応するレーザーで分解し、明るく自然なピンク色へ導く治療です。
摩擦や紫外線ダメージによる色素沈着を優しく改善し、ダウンタイムも抑える配慮をしています。
回数を重ねることで徐々にトーンアップし、口紅に頼らない健康的な唇を目指します。
唇の黒ずみ改善やリップのくすみ治療をお探しの方におすすめです。
妊娠中の方、光アレルギーのある方、唇に強い炎症やヘルペスがある方などは、歯科医師の判断により治療を控えさせていただく場合があります。
回数は個人差がありますが、3〜5回程度が目安です。

唇は皮膚が非常に薄く、皮脂腺も少ないため、乾燥・荒れ・くすみが起こりやすい部位です。
また、口元は会話や表情によって常に動くため、ダメージが蓄積しやすいという特徴もあります。
リップエステでは、角質ケア・血行促進・保湿をバランスよく行い、健康的でツヤのある唇へと導きます。
単なる美容目的だけでなく、口腔内環境を熟知した歯科視点で行うことで、安全性にも配慮したケアが可能です。
専用機器による角質ケア、マッサージ等(約20分〜30分)

自然なボリュームで、理想の顔立ちを手に入れる。
ヒアルロン酸注射は、皮膚や組織に不足した水分やボリュームを補うことで、理想のフェイスラインや若々しい印象を作る治療です。
中でもリップフィラーは、唇に自然な厚みや形を与え、血色感のあるふっくらとした口元に整えることができます。
ほうれい線への注入では、深く刻まれた線をやわらげ、表情が明るく若々しく見えるようサポートします。
また、顎(オトガイ)の輪郭形成では、顔全体のバランスを整え、シャープで引き締まった印象を実現します。
注入箇所や量は患者様の顔の形や希望に合わせて丁寧に調整するため、自然で違和感のない仕上がりが可能です。
施術時間も短く、ダウンタイムも少ないため、手軽に理想の表情とふっくら唇を目指せます。
※効果の持続期間には個人差があります。
※本治療には日本国内において未承認の医薬品・医療機器が含まれますが、歯科医師の責任のもと、個人輸入等により適正に使用しています。
注入部位を強く揉んだり、圧迫したりしないでください。(形が崩れる原因となります)
当日の飲酒・激しい運動・長風呂は控えてください。

口元の悩みを、医学的にアプローチ
口元の印象を整えるボトックス注射は、切開を伴わずに自然な表情改善が期待できる治療です。
スマイルボトックスは、口角を下に引き下げる筋肉の働きをやわらげることで、口角が自然に上がりやすくなり、無表情でもやさしく明るい印象へ導きます。
ガミースマイルボトックスは、笑った際に上唇を過度に引き上げる筋肉へ適切に注入することで、歯ぐきの露出を軽減し、バランスの取れた自然な笑顔を目指します。
いずれも施術時間は短く、ダウンタイムが少ないため、日常生活への影響を抑えながら治療が可能です。
顎の関節や咀嚼筋(噛むための筋肉)など、お口周りの解剖学を熟知している歯科医師が表情筋の動きを見極めながら注入量を丁寧に調整することで、不自然にならない仕上がりを追求します。
口元のコンプレックスを改善し、第一印象をより魅力的に整えたい方に適した施術です。
※効果には個人差があります。
※本治療には日本国内において未承認の医薬品・医療機器が含まれますが、歯科医師の責任のもと、個人輸入等により適正に使用しています。
注入後1週間程度は、激しい運動、長風呂、サウナ、注入部位の強いマッサージを控えてください。
また、治療後3ヶ月間は避妊が必要な場合があります。(胎児への影響を考慮するため)

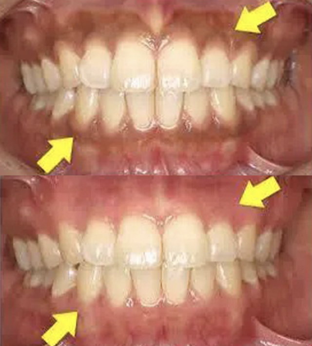
歯ぐきの色が変わるだけで、笑顔の印象は大きく変わります!
歯が白くても、歯ぐきが黒ずんでいると、不健康な印象や老けた印象を与えてしまうことがあります。
歯ぐきの黒ずみの主な原因は、メラニン色素の沈着・喫煙・刺激の強いブラッシング・生活習慣などが挙げられます。
ガムブリーチ(歯肉ピーリング)は、歯ぐき表面の色素沈着をケアし、本来の健康的なピンク色へと導く施術です。
歯ぐきの色が明るくなることで、歯の白さもより際立ち、口元全体が一気に洗練された印象になります。

歯ぐきや咀嚼筋は、日常生活の中で想像以上に緊張し、負担がかかっています。
特に、食いしばり・歯ぎしり・長時間のスマートフォンやPC作業などは、顎や顔周りの筋肉を硬くし、むくみや疲労感、フェイスラインの崩れにつながります。
歯肉・咀嚼筋マッサージでは、口腔内から直接アプローチすることで、表面からは届きにくい深層の筋肉をやさしくほぐします。
美容だけを目的とした施術ではなく、口腔内の構造・噛み合わせ・筋肉・歯ぐきの状態を総合的に考慮することが、本当に美しく、長く保てる口元につながります。
GRAZ DENTAL CAREでは、歯科医療の視点から、安全性と結果にこだわった口元美容をご提供します。
| 江南式リップアートメイク | 66,000円/回 |
|---|---|
| リップメラニン除去 | 33,000円/回 |
| リップエステ | 3,300円/回 |
| ヒアルロン酸注射 | 55,000円/部位 |
| ボトックス注射 | 38,500円/部位 |
| ガムブリーチ(歯肉ピーリング) | 33,000円/回 |
| 歯肉・咀嚼筋マッサージ | 2,200円/回 |
※表示価格は税込です。