カウンセリング~治療まで
東京医科歯科大学 顎顔面矯正学 博士号
追加費用ゼロ
矯正相談や経過観察などに限る
ご相談にも多く対応しております
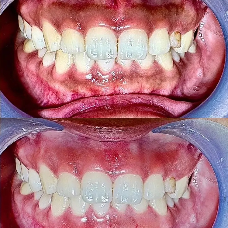
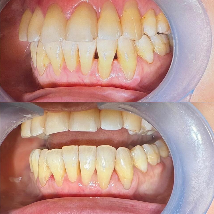
症例多数あり
多くの方にご来院いただいています

当院では、患者様とって最善の治療法で短期間かつ安全に治療を進めることを大切にしています。
さらに、健康な歯を極力抜かず、削らずに行う矯正治療を理念としており、そのためには治療前の情報収集と診断の精度が欠かせません。
的確な治療計画を立てるためには、精密で多角的な検査データを正しく読み解くことが非常に重要です。
当院では、立体的かつ詳細に口腔内を把握できる 3D CT や 3D光学スキャナー をはじめ、骨格・筋肉のバランス、姿勢、咬合の状態など、多岐にわたる項目を徹底的に評価しています。
患者様にとってより良い矯正結果を導くため、当院は精度の高い診断と科学的根拠に基づく治療にこだわり続けています。




当院の矯正治療は、精密な検査に基づいた緻密な治療計画を立てることから始まります。
計画にミスがないため、治療はスムーズに進み、無駄のない治療が可能です。
その結果、治療期間や通院回数をできるだけ少なくでき、患者様の負担を最小限に抑えられます。
こうした緻密で効率的な治療体制のおかげで、60~70代の方でも安心して矯正治療を始められる方が多く、年齢に関わらず安心して歯並びの改善に取り組んでいただけます。

60~70代から始めるシニア矯正、増えています!
子育てや仕事を終え、ご自身の時間を大切にできる今こそ、将来の健康を見据えたシニア矯正治療を始める好機です。
歯並びを整えることは、見た目の若々しさを高めるだけでなく、むし歯・歯周病の予防や噛み合わせの改善にもつながります。
これからも自分の歯でしっかり噛み、食事や会話を楽しむための土台づくりとして、そしてこれまで頑張ってきたご自身へのご褒美として。
人生をより健やかに、前向きに過ごすための選択肢がシニア矯正治療です。
当院では、目立ちにくく、痛みをできる限り抑え、治療期間の短縮も期待できる矯正装置をご用意しています。
主に、マウスピース型矯正装置とワイヤー矯正(表側・裏側)の2種類を中心に、患者様一人ひとりに最適な治療方法をご提案しています。
また、より効率的に治療を進めるために、追加費用なしでマウスピースからワイヤーへ切り替えるハイブリッド矯正にも対応しております。
治療の進行状況に合わせて柔軟に装置を選択することで、無理のないスムーズな矯正治療を提供いたします。

マウスピース矯正は、透明で薄い装置を使用するため、装着していても目立ちにくく、周囲に気づかれにくい矯正治療です。
見た目に配慮したい方や、できるだけ自然に矯正を進めたい方におすすめの方法です。
当院では、光学スキャナ 「iTero」 を用いて精密な歯型データを取得し、その情報を3Dデジタル化して詳細に分析します。
これにより、治療開始から完了までの精度の高い治療計画を立て、より確実でスムーズな矯正を実現します。
アソアライナーは、インビザラインと同じく透明で薄いマウスピースを使用する国産の矯正装置です。
日本の矯正専門技工所である株式会社アソインターナショナルが、一つひとつ丁寧に手作業で製作しています。
また、3種類の異なる厚みのマウスピースを使い分けることで矯正力を調整でき、歯が動く際の負担や痛みを軽減することが可能です。
日本人の口腔特徴に合わせた精密な設計で、快適に矯正治療を進められる点も特徴です。
当院の表側矯正では、追加費用なしでホワイトセラミックブラケットとホワイトワイヤーをお選びいただけます。
一般的な金属製のワイヤー矯正に比べ、白い装置を使用することで装着時の見た目がより自然で、目立ちにくい点が特徴です。
さらに、ブラケットとワイヤーの摩擦を最小限に抑える設計を採用しているため、歯が動く際の負担が軽く、治療中の痛みを軽減できる点も大きなメリットです。
当院の裏側矯正は、ブラケットとワイヤーの摩擦を最小限に抑える設計を採用しており、弱い力でも効率よく歯を動かせるのが特徴です。
そのため、痛みが少なく、治療期間の短縮も期待できる矯正方法です。
さらに、従来の裏側用ブラケットに比べて装置が薄く設計されているため、発音への影響が出にくく、日常生活での違和感が軽減されます。
裏側に装着する装置でも、比較的歯磨きがしやすい点も大きなメリットです。
歯並びが整うだけでもむし歯や歯周病リスクの軽減、口呼吸(ドライマウス)や咀嚼力の改善など健康に繋げることが可能です。
しかし、歯や歯茎の色、顎の痛み(顎関節症)、矯正治療によってできた歯茎の隙間(ブラックトライアングル)など
歯並びが整っても改善しきれない美と健康があります。
当院では、真の健康と美しさをトータルサポートいたします。



LIFETIME ACHIEVEMENT(生涯功績賞)とは、インビザライン治療における累計500症例以上という長期的な実績を持つ歯科医師に贈られる称号です。
この賞は、単年の症例数ではなく、これまでに承認された治療計画数の累積が一定の基準に達した時点で授与されます。
長年にわたり多くの患者様の歯並び改善に携わってきた経験とその継続的な取り組みが高く評価していただけました。
当院の矯正歯科治療は、初診相談から精密検査、診断、治療計画の立案、装置の調整、保定・メンテナンスに至るまで、すべて院長が一貫して担当します。
治療の各段階で担当者が変わらないため、わずかな歯の動きや噛み合わせ、患者様の不安やご要望の変化も的確に把握し、質の高い安定した治療をご提供することが可能です。
長年にわたり積み重ねてきた臨床経験と専門的な知見をもとに、一人ひとりのお口の状態やライフスタイルに合わせた最適な治療をご提案します。
安心して矯正治療をお任せいただける体制を整えています。
| 精密検査・診断料 | 55,000円 |
|---|---|
| インビザライン治療計画作成 | 11,000円 |
| 矯正施術料(インビザライン ライト) | 660,000円 |
| 矯正施術料(インビザライン フル) | 1,144,000円 |
| 矯正施術料(裏側矯正ハーフ) | 1,210,000円 |
| 矯正施術料(裏側矯正フル) | 1,430,000円 |
| 矯正施術料(その他) | 968,000円 |
| 保定装置料(両顎) | 33,000円 |
| 保定後の観察料 | 3,300円 |
※施術料は症例により使用する矯正装置が異なるため、診断時にご提案し確定いたします。
※大人矯正治療はトータルフィー制度(調整料無料)を採用しております。
※表示価格は税込です。