当院が独自開発したシュプリームホワイトニング®は半導体レーザーを使用したレーザーホワイトニングです。
薬剤の調整(低濃度薬剤)や従来の青色LED照射を患者様の状態に合わせ組み合わせる技術は、他院にはない絶対的技術です。
他院に真似できないこの技術により、1回で白さを実感でき、かつ痛くない・しみないホワイトニングが可能となっています。
シュプリームホワイトニングZは最新機種の半導体レーザーを使用しており、レーザーの出力や波長が異なりパワーアップしています。
そのため、シュプリームホワイトニング®に比べ約1.5倍の効果が得られます。
1回で10シェード前後変化できる
通常ホワイトニング(青色LED)との比較
ワイヤーが付いていても可
薬剤が殺菌してくれる


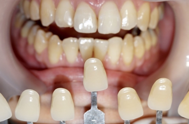
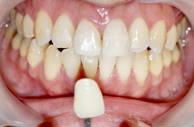
| 患者様 | 40代女性 |
|---|---|
| 施術回数 | 1回 |


| 患者様 | 50代男性 |
|---|---|
| 施術回数 | 1回 |


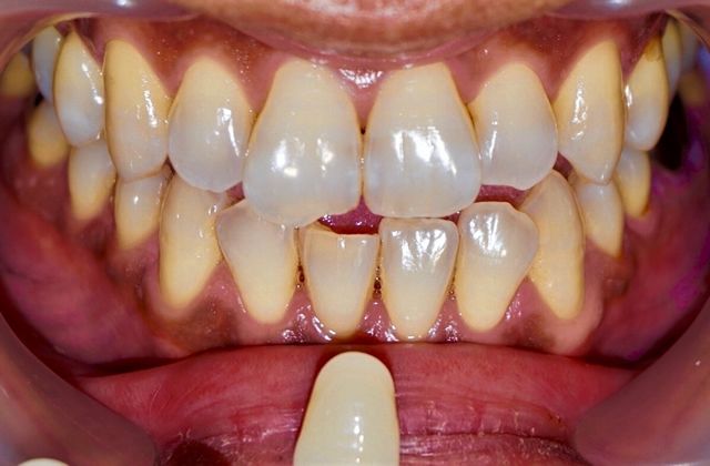
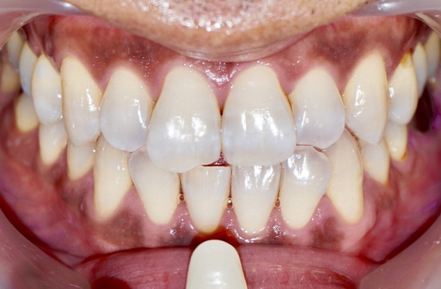
| 患者様 | 40代女性 |
|---|---|
| 施術回数 | 6回 |

ホームホワイトニングは、患者様の歯型にあったマウスピースを作製し、専用のホワイトニングジェルを使い、ご自宅でじっくり歯を白くする方法です。
オフィスホワイトニングで得られた白さをより長く持続させ、さらに白さを際立たせるための補助的なケアです。
オフィスホワイトニングでの集中治療の後、ご自宅で自分のペースに合わせてホワイトニングを続けることで、色戻りを防ぎ、自然で明るい歯の白さを長期間維持できます。
使用方法や注意点は歯科衛生士が丁寧に説明するため、初めての方でも安心して取り組めます。
定期的に続けることで、オフィスホワイトニング単体では得られない、より均一で美しい白さが実感できます。
ホワイトニングの施術は、歯科医師および歯科衛生士といった有国家資格者のみが行っております。
当院ではさらに、ホワイトニングに関する専門的な座学・実技研修を修了し、豊富な臨床経験を積んだ歯科衛生士がホワイトニングコーディネーターとして施術を担当しています。
施術前には、患者様一人ひとりのお口の状態やご希望を丁寧にカウンセリングし、治療内容や効果、注意点についてわかりやすくご説明いたします。
十分にご納得いただいた上で施術を進めてまいりますので、ご安心ください。
ホワイトニングが初めての方にもリラックスして受けていただけるよう、安全性と安心感を大切にした環境を整えております。
| ベーシックコース (1回5分×3方向照射) | シュプリームホワイトニング® | 49,500円 |
|---|---|---|
| シュプリームホワイトニングZ | 55,000円 | |
| 3回来院コース (1回5分×3方向照射×3カ月以内に3回来院) | シュプリームホワイトニング® | 99,000円 |
| シュプリームホワイトニングZ | 110,000円 | |
| 6回来院コース (1回5分×3方向照射×1年以内に6回来院) | シュプリームホワイトニング® | 176,000円 |
| シュプリームホワイトニングZ | 198,000円 | |
| 薬剤なしコース | シュプリームホワイトニング® | 178,200円 |
※薬剤なしコースは、妊娠中・授乳中・矯正装置装着中でも施術可能!
※表示価格は税込です。
| ブーストホワイトニング (1回15分×1方向照射 上下前歯12本のみ) | 11,000円 |
|---|---|
| ホームホワイトニング | 22,000円 |
※ホワイトニングを長持ちさせるためにホームホワイトニングをおすすめしております。
※表示価格は税込です。