「歯を白くしたい」「形を整えたい」
でも、健康な歯を削ることには抵抗がある——。
そんな方のために生まれたのが削らないラミネートベニアです。
当院では、
La Briller(ラブリエ)をはじめとする、厳選した3種類の削らないベニアを取り扱い、
患者様一人ひとりに最適な選択をご提案しています。
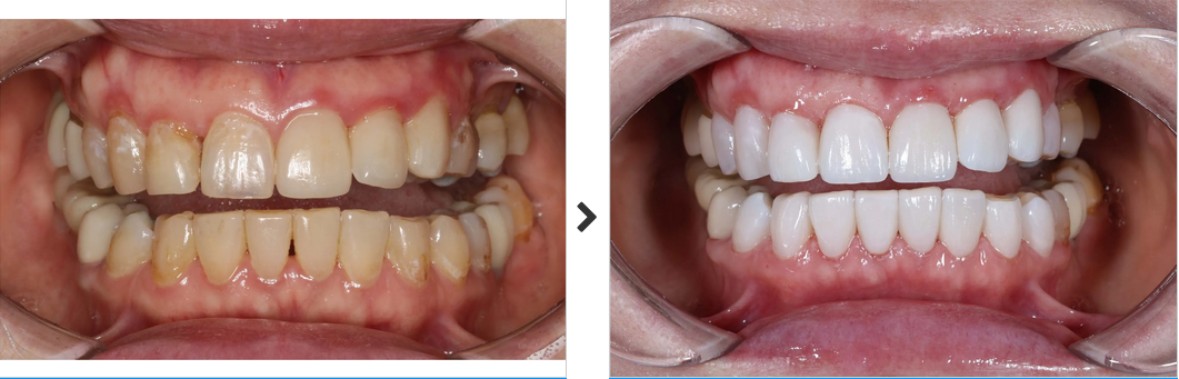
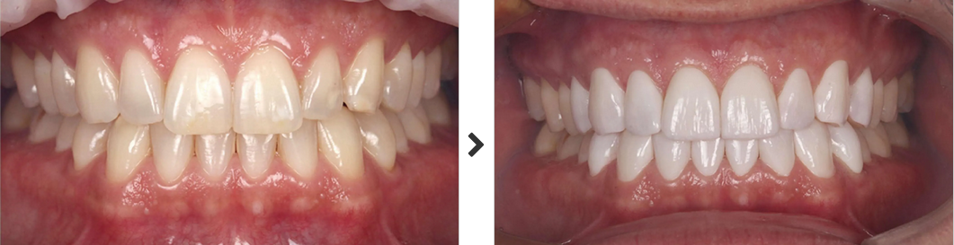
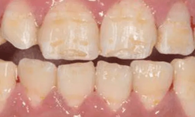
従来のラミネートベニアは、人工歯を貼り付けるスペースを作るために、健康な歯の表面を約0.5mm〜0.7mmほど削る必要がありました。
しかし、当院が提供する最新の「削らないラミネートベニア(ノンプレップ・ベニア)」は、ジルコニアの圧倒的な強度と加工技術の進化により、コンタクトレンズのような「極限の薄さ」を実現しました。
健康な天然歯を一切(もしくはほとんど)削ることなく、歯の上に直接高精度なベニアを接着します。
「歯を削るのが怖い」「短期間で印象を変えたい」
削らないラミネートベニアは、そんな一人ひとりの理想を叶える最新の審美治療です。
健康な歯を一生大切にしたい、という想いに寄り添います。
歯を削らない審美歯科 / 麻酔なしの治療 / 歯の寿命を縮めない / エナメル質を傷つけない
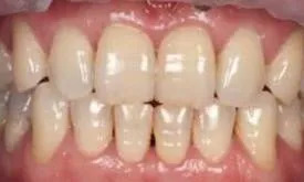
薬剤では白くならない変色や神経のない歯も極薄のシェルを貼るだけで理想の白さに。
テトラサイクリン歯(グレーの歯)の改善 / 神経を抜いた歯の黒ずみ / エナメル質形成不全 / 芸能人のような真っ白な歯
矯正治療ほどの時間はかけられないけれど、見た目を今すぐ改善したい方に最適です。
すきっ歯を埋める / 矮小歯(小さい歯)の修正 / ギザギザ・角のある歯を丸くする / 前歯の形を揃える
結婚式や就活、成人式など、人生の節目を最高の笑顔で迎えたい方を応援します。
2週間で歯をきれいに / 結婚式・前撮り直前のホワイトニング代用 / 短期間で印象を変える
当院では、患者様のご要望(色味、透明感、薄さ)に合わせて3種類の極薄ベニアをご用意しております。
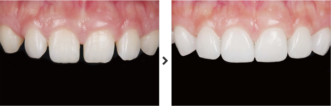
La Briller(ラブリエ)は、人工ダイヤモンドとも呼ばれる「ジルコニア」を世界最先端の加工技術で極限まで薄く仕上げた、次世代の審美歯科治療です。
髪の毛よりも薄い(約0.04mm)極薄のジルコニアチップを、歯の表面に接着することで自然な白さ・美しい形・理想の口元を短期間で実現します。
従来の「歯を削る審美治療」とはまったく異なる、歯を守りながら美しさを叶える新しい選択肢です。
日常生活の食事や噛み合わせによる負担にも強く、割れにくく、欠けにくい素材です。
「いかにも治療した歯」ではなく、自分の歯のように自然な透明感を実現します。
薄いからこそ、違和感が少なく、発音や噛み心地も自然にすることが可能です。歯への負担を最小限に抑えられます。
歯との隙間を極限まで減少することで外れにくく、汚れが溜まりにくくなります。見た目も機能も極めて自然な仕上がりとなります。
「美しくなるために歯を犠牲にしない」それがラブリエ最大の価値です。
通院回数が少ないことは、単に「楽」というだけでなく、生活への影響を最小限に抑えられるという大きな利点があります。

ラブリエ顧問の東京科学大学名誉教授江藤一洋先生(右)
トゥルーエナメルは、La Brillerと同様に高品質なジルコニアを使用した削らないラミネートベニアです。

「本物の歯と見分けがつかない自然さ」を重視する方
スーパーエナメルは、削らないラミネートベニアをより身近な選択肢として取り入れたい方に適した素材です。

「まずは削らないベニアを試したい」など初めての方
| 項目 | ラブリエ | ミニッシュ | スーパーエナメル/トゥルーエナメル |
|---|---|---|---|
| 削るダメージ | なし | あり | なし |
| 素材 | 最高品質高透過性ジルコニア | マークⅡセラミック | ジルコニア |
| 治療期間 | 4週間 | 4週間 | 3週間 |
| 強度 | 強い | かなり弱い | 強い |
| 薄さ | 0.04mm | 0.5mm | 0.3mm |
| 仮歯 | あり | なし | あり |
| 元の歯への復元 | できる | できない | できる |
当院では、
「ラブリエ認定講師による施術」「削らない治療の豊富な知識と経験」
「3種類から最適な素材を提案」「見た目だけでなく"歯の未来"を考えた治療方針」
を強みとしています。
まずはご相談ください。
削らないラミネートベニアは、誰にでも同じ治療を行えば良いものではありません。
だからこそ当院では、無理な治療は勧めず、最適な選択肢を一緒に考えることを大切にしています。
気になる方は、ぜひ一度ご相談ください。
| La Briller(ラブリエ) | 121,000円/本 |
|---|---|
| トゥルーエナメル | 110,000円/本 |
| スーパーエナメル | 110,000円/本 |
※表示価格は税込です。