

※矢印マークを左右にドラッグすると治療前後画像が切り替わります
| 治療期間 | 1年5ヶ月 |
|---|---|
| 治療法 | マウスピース矯正(インビザライン) |
| 治療費 | 約104万円(検査費別) |
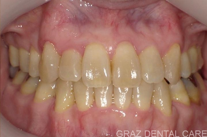
50代女性の患者様です。
骨格は受け口傾向で右上2番目の歯が完全に後ろに隠れて生えている(前から見えない)ため、上の歯の中心が大きくズレている状態でした。
上下左右第一小臼歯と下顎親知らずを抜歯して、マウスピース矯正を行いました。
しっかりと噛めるようになり、美しい歯並びは歯磨きの効率も上げます。
患者様からは、とても喜んでいただけました。
ここからは昼間のマウスピース使用時間を減らしながら、夜間の保定に移行していきます。
今回のケースでは、親知らずを含め6本の抜歯でした。
しかし、治療途中での計画変更は一切行っておらず、検査結果をもとに緻密な計算から導き出した当初からの計画です。
約50枚のマウスピースを使用し、1年半以内にここまで改善しました。
ご年齢も適切な矯正技術があれば問題なく治療可能です。
当院の矯正治療を行う患者様は、80代までいらっしゃいます。
矯正は何歳からでも始められます。まずはお気軽にご相談ください。
【一般的な矯正治療の副作用】
頻度は極稀ですが、矯正治療では、歯根吸収や歯肉退縮、歯髄壊死等のリスクが一般的に報告されています。
リスクの種類や可能性はそれぞれ異なるため診断時に詳しくご説明さしあげます。