むし歯や歯周病は、痛みが出てから治療するもの。
そう思われがちですが、それでは本当の意味で歯を守ることはできません。
当院の歯科ドックは、症状が出る前にリスクを見つけ、将来のトラブルを防ぐための精密検査です。
むし歯・歯周病だけでなく、口腔がんの早期発見まで視野に入れた、包括的な検査を行っています。
こうした不安は、見た目や自覚症状だけでは判断できません。
だからこそ、歯科ドックという選択があります。
通常の歯科検診では見逃されやすい、以下までも多角的に調べ、将来どのようなトラブルが起こりやすいかを明確にします。
口腔がんは、早期発見できれば治癒率の高いがんです。
しかし、初期段階では、痛みや違和感がほとんどありません。
当院の歯科ドックでは、口腔がんの早期発見を目的とした専門的な検査を行っています。
「何もなければ安心できる」それが、口腔がん検査の最大の価値です。
口臭三大要素ガス(硫化水素、メチルメルカプタン、ジメチルサルファイド)の濃度を調べ、口臭の原因を特定します。
客観的に評価できるため、生活習慣や口腔内環境の改善につなげることができます。
また、口臭の原因が消化器系の可能性まで調べることが可能です。
大学病院同等の精密機器で息の成分解析を行い、口臭の原因となる成分の含有を検出!!

当院では、歯を削らずにむし歯の早期発見ができる機器(ダイアグノデント ペン・ダイアグノカム)を使った検査を行っています。
レーザー光でむし歯の進行度を数値化したり、光の透過で歯の内部やヒビを画像で確認したりすることができます。
これにより、視診やレントゲンでは見逃しやすい初期のむし歯も確認でき、削らずに経過観察や予防につなげる判断が可能です。
痛みもなく、短時間で検査できます。
位相差顕微鏡を用いた口腔内細菌検査は、歯垢中の細菌をその場で観察し、種類や活動性を確認できる検査です。
歯周病菌の有無やリスクを視覚的に把握できるため、現状の説明や予防意識の向上につながります。
検査結果をもとに、個々に適したケアや治療計画を立てることが可能です。
唾液の量・質などを短時間(5分ほど)で分析します。
むし歯や歯周病のなりやすさを客観的に評価でき、現在の口腔内環境や将来的なリスクの把握が可能です。
検査結果をもとに、一人ひとりに適した予防プログラムやセルフケア指導につなげることができます。
歯科治療で使用される金属は稀に金属アレルギー症状を引き起こすことがあります。
当院では歯科治療で使われる金属も含め約20種類のアレルギー有無を調べることが可能です。
リスクを事前に把握し、将来的なトラブルを未然に防ぐことが可能です。
むし歯検査、歯周病検査、口腔内細菌検査、咬合検査、咀嚼検査、色調検査、歯並び検査、顎関節検査、唾液検査
Bコース + 口臭検査、口腔癌検査、むし歯レーザー検査
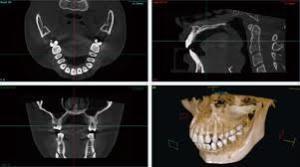
Sコース + CT検査、金属アレルギー検査
※表示価格は税込です。
※歯科医師より検査結果の説明があります。(検査日とは別で約30分必要)
※検査結果は全てお渡しします。
| 口腔がん検査 | 5,500円 |
|---|---|
| 口臭検査 | 3,300円 |
| むし歯レーザー検査 | 5,500円 |
| 口腔内細菌検査 | 3,850円 |
| 金属アレルギー検査 | 22,000円 |